Die Zukunft der Zahndiagnostik

3D Monitoring Scan

Ihre Zähne in einer neuen Dimension

Willkommen in der Zukunft der Zahndiagnostik

Stellen Sie sich vor, Sie könnten Ihre Zahngesundheit wie nie zuvor verstehen – mit präzisen 3D-Scans, die Sie jederzeit auf Ihrem Smartphone ansehen können. Genau das macht unser Digital Monitoring möglich. Ohne unangenehme Abdrücke, dafür mit beeindruckender Klarheit.

nur 49,95 €

Ein digitales Abbild Ihres Lächelns

In nur wenigen Minuten erstellen wir mit unserem hochmodernen 3Shape TRIOS Intraoralscanner eine exakte 3D-Karte Ihrer Zähne. Keine störende Abdruckmasse mehr – nur komfortables, berührungsloses Scannen mit außergewöhnlicher Präzision. Dieses digitale Modell ist Ihr erster Schritt zu einem tieferen Verständnis Ihrer Mundgesundheit.

 

Video starten

Um das Video an dieser Stelle anzuzeigen, müssen Sie die Cookie-Kategorie "Präferenzen" aktivieren und diese Seite danach ggf. einmal neu laden. Jetzt meine Cookie Einstellungen aufrufen. Dabei können persönliche Daten wie beispielsweise Ihre IP-Adresse an YouTube (Google) übermittelt werden. Durch die Aktivierung erklären Sie zudem Ihr Einverständnis zu unseren Datenschutzbestimmungen, diese also gelesen und akzeptiert zu haben.

So funktioniert Digital Monitoring

In 4 Schritten

1. Der Scan

1. Der Scan

Wir erstellen in unserer Praxis einen präzisen 3D-Scan Ihrer Zähne mit dem 3Shape TRIOS Scanner – schnell, komfortabel und völlig berührungslos.
2. Intelligente Analyse

2. Intelligente Analyse

Unsere KI-gestützte Software analysiert Ihren Scan live und wandelt die Daten in klare, verständliche Bilder um. Selbst kleinste Veränderungen werden sichtbar – ob Karies, Zahnfleischrückgang oder Abnutzungsspuren.
2. Intelligente Analyse
3. Ihre App

3. Ihre App

Sie erhalten Zugriff auf Ihre persönlichen Scans über die DentalHealth-App. Verfügbar für iOS und Android – kostenlos und benutzerfreundlich.
4. Gemeinsam besprechen

4. Gemeinsam besprechen

Wir gehen die Ergebnisse direkt mit Ihnen durch. Sie sehen, was wir sehen, und treffen gemeinsam mit uns die besten Entscheidungen für Ihre Zahngesundheit.
4. Gemeinsam besprechen

Was Sie mit Digital Monitoring gewinnen

Früherkennung für mehr Sicherheit

Früherkennung für mehr Sicherheit

Unsere intelligente Analyse identifiziert frühzeitig Probleme, die mit bloßem Auge nicht sichtbar wären. So können wir rechtzeitig handeln, bevor größere Behandlungen nötig werden.
Früherkennung für mehr Sicherheit
Transparenz, die Sie verstehen

Transparenz, die Sie verstehen

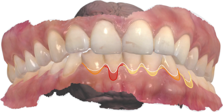
Keine komplizierten Fachbegriffe mehr. Sie sehen Ihre Zähne in 3D und verstehen genau, was in Ihrem Mund passiert. Farbige Überlagerungen zeigen Ihnen auf einen Blick, wo Plaque, Karies oder Zahnfleischrückgang (Rezessionen) festgestellt wurden.
Motivation für bessere Pflege

Motivation für bessere Pflege

Sie können sehen, wie sich Ihre Mundgesundheit entwickelt. Die App zeigt Ihnen Ihren Fortschritt – das motiviert und bestärkt Sie in Ihrer täglichen Routine.
Motivation für bessere Pflege
Immer informiert bleiben

Immer informiert bleiben

Zwischen den Terminen bleiben Sie über Ihre Mundgesundheit auf dem Laufenden. Ihre Scans und persönlichen Empfehlungen sind jederzeit griffbereit – auf Ihrem Smartphone.
Mehr als die jährliche Kontrolle

Mehr als die jährliche Kontrolle

Sie möchten mehr für Ihre Zahngesundheit tun? Digital Monitoring gibt Ihnen die Werkzeuge, um aktiv und informiert zu bleiben – weit über die Standard-Vorsorge hinaus.
Mehr als die jährliche Kontrolle

Präzision durch modernste Technologie

Der 3Shape TRIOS Intraoralscanner

Komfortables Scannen
Kabellos, leicht und ergonomisch – ohne unangenehme Abdrücke
Höchste Genauigkeit
Dokumentierte Präzision für verlässliche Diagnosen
Schnelle Ergebnisse
In wenigen Minuten haben wir ein vollständiges 3D-Modell Ihrer Zähne
Farbechte Darstellung
Ihre Zähne werden realitätsgetreu in HD-Qualität erfasst

Häufig gestellte Fragen

Ist der digitale Scan unangenehm?

Überhaupt nicht! Der 3Shape TRIOS Scanner arbeitet berührungslos und kommt ganz ohne die klassische Abdruckmasse aus. Die meisten Patienten empfinden den Scan als sehr angenehm.

Wie lange dauert ein Scan?

Ein kompletter Scan dauert in der Regel nur wenige Minuten. Sie können direkt im Anschluss die Ergebnisse mit uns besprechen.

Ist die App wirklich kostenlos?

Ja! Die DentalHealth-App können Sie kostenlos im App Store oder bei Google Play herunterladen. Sie brauchen lediglich Zugang zu Ihren Scans von uns.

Wie oft sollte ich einen Digital-Check machen lassen?

Wir empfehlen einen Digital-Check alle 12-24 Monate, je nach Ihrer individuellen Mundgesundheit. So können wir Veränderungen frühzeitig erkennen und dokumentieren.

Kann ich die Scans mit meiner Familie teilen?

Die Scans sind in Ihrer persönlichen App gespeichert und mit Ihrer Behandlung verknüpft. Wenn Sie sie mit jemandem teilen möchten, können Sie dies direkt über die App-Funktionen tun.

Wird Digital Monitoring von der Krankenkasse übernommen?

Digital Monitoring ist eine private Zusatzleistung und wird nicht von gesetzlichen Krankenkassen übernommen. Für nur 49,95 Euro erhalten Sie jedoch einen umfassenden Digital-Check mit persönlichem Zugriff auf Ihre Scans.

Was unsere Kunden sagen